Wireless portable endoscope, x-ray and ultrasound, with stall-side processing
Perth Equine Vets / Wireless portable endoscope, x-ray and ultrasound, with stall-side processing
Diagnostic Equipment
Our advanced diagnostic equipment allows us to bring hospital-standard imaging and investigation directly to your horse. This means we can make accurate, timely diagnoses at your yard – reducing stress, avoiding unnecessary travel, and helping us start the right treatment as quickly as possible.
⸻
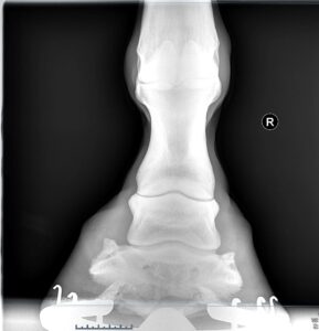
Radiography (X-rays)
Our portable digital x-ray system allows us to take high-quality images on your premises.
To ensure the best results, we’ll need access to a covered area with a clean, flat surface, and your horse should be free from mud to prevent artefacts on the images.
For safety reasons, under-18s and pregnant individuals cannot be present during radiography.
Images are processed instantly on-site, allowing us to assess them in real time and discuss findings with you straight away.
Most horses will require sedation to ensure safe handling and clear images.
Why we use X-rays
X-rays allow us to assess bones and joints in detail. They are invaluable for diagnosing lameness, fractures, arthritic changes, foot balance issues, and dental or sinus problems.
What to expect
Your vet will position a small plate behind the area being imaged and stand at a safe distance while the x-ray is taken. Most horses tolerate the procedure well, and results are available immediately.
⸻
Ultrasound
Ultrasound allows us to examine soft tissues, such as tendons, ligaments, and internal organs, using sound waves.
A quiet, darkened area helps us achieve the best images, and most horses will require sedation for a detailed and accurate scan.
Why we use ultrasound
Ultrasound is a key tool for diagnosing tendon injuries, joint effusions, and heart, abdominal or reproductive problems. It helps us monitor healing and guide treatment plans effectively.
What to expect
Clipping of the hair, followed by the application of a gel is applied to the area to ensure good contact with the probe. The images appear in real time, allowing your vet to explain findings as the scan is performed.
⸻
Reproductive Scanning
Reproductive (breeding) ultrasound allows us to monitor the mare’s reproductive cycle, detect ovulation, confirm pregnancy, and assess the developing foal.
A quiet, sheltered stable with good light is ideal. Most mares tolerate the procedure very well, but mild sedation can be used if needed.
Why we use reproductive scanning
Ultrasound is the safest and most accurate way to monitor a mare’s cycle, determine the best time for covering or insemination, confirm pregnancy, and check foetal health and heartbeat.
What to expect
The scan is performed via the rectum using a specially designed probe. The images appear instantly, allowing us to provide you with immediate feedback and an accurate plan for breeding management. More information can be found on our stud page.
⸻
Respiratory Endoscopy
Endoscopy allows us to examine the horse’s upper airways – including the nasal passages, pharynx, and larynx – to investigate coughing, nasal discharge, or poor performance.
We’ll need access to a stable with a nearby electrical point. We provide a table for the processing unit and an extension lead. In some cases, we can perform respiratory endoscopy in the field without power, but please make us aware if this is the case.
Horses are sedated for comfort and safety during the procedure.
Coughing is normal during the examination, especially in horses with respiratory disease.
Why we use endoscopy
Endoscopy provides a direct view of the respiratory tract, helping us identify inflammation, mucus, structural abnormalities, or airway collapse that may affect performance or wellbeing.
What to expect
A small flexible camera is gently passed up one nostril and into the upper airways while your horse is sedated. The video is displayed live, allowing us to show and explain what we see.
⸻
Gastroscopy
Gastroscopy enables us to look directly inside the stomach to assess for gastric ulceration – both squamous and glandular types.
Your horse will need to be starved for at least 12 hours before the appointment to ensure a clear view. Please ensure they are not bedded on straw bedding, and pick up droppings frequently as some hungry horses will eat anything!
A stable with a nearby electrical point is required; we bring our own table and extension lead.
The horse is sedated for comfort during the procedure.
Why we use gastroscopy
Gastroscopy is the only way to definitively diagnose equine gastric ulcer syndrome (EGUS)and to assess the severity and location of ulcers. This ensures the correct treatment plan is chosen for your horse. The location and severity of the ulceration will dictate the medication type and duration, as well as management changes too.
What to expect
A long, flexible camera is passed gently through the nostril into the stomach. The procedure takes around 20–30 minutes, and images are displayed on a screen in real time. Your vet will talk you through the findings and discuss treatment options.
⸻
Electrocardiography (ECG)
An ECG measures the electrical activity of the heart, helping us assess rhythm and detect abnormalities such as atrial fibrillation or other irregular heartbeats.
The test is quick, non-invasive, and can be performed at rest or during exercise, depending on the case.
Why we use ECG
ECG is an essential diagnostic tool for investigating heart murmurs, poor performance, collapse, or changes in heart rate. It allows us to differentiate between normal variations and clinically significant arrhythmias.
What to expect
Small adhesive electrodes or clip-on leads are attached to the horse’s skin. The test is completely painless and usually well tolerated. Results are reviewed by our in house internal medicine specialist.
⸻
In Summary
Our portable diagnostic equipment allows us to bring comprehensive, hospital-level care to your horse’s stable.
By combining advanced imaging with experienced clinical interpretation, we can diagnose problems accurately, plan appropriate treatment, and monitor recovery – all in the comfort of your horse’s familiar surroundings.